Kyste de l'ovaire fœtal bilatéral et régressif in utero Kyste ovarien fœtal bilatéral multiloculaire à évolution régressive in utero Il s'agit de kystes ovariens découverts fortuitement lors d'une consultation obstétricale par un coup d'échographie de routine Il s'agit de formations kystiques multiloculaires (cloisonsReechographie le verdict tombe, il va falloir opérer car la taille du kyste peut être un frein à l'évolution normale du fœtus;Les kystes organiques de l'ovaire ou kystes solides L'échographie n'est en générale pas suffisante pour réussir à caractériser ce kyste Votre gynécologue vous prescrira soit un scanner, soit une IRM Avec cet examen complémentaire, nous aurons une idée de la nature de ce kyste

Une Femme De 45 Ans Retrouve Son Jumeau Dans Son Ovaire
Kyste ovaire bébé échographie
Kyste ovaire bébé échographie-OK, c'est une lapalissade médicale mais la différence est fondamentale parce que les kystes organiques, impossible de les faire disparaître avec des médicaments, et vous risquez fort de passer sous le bistouri ! Grossesse & bébé echographiekyste a l'ovaire Nessa33 à 16h01 Alerter Copier le lien Le lien a été copié dans votre pressepapier Que l'ovulation soit à droite ou à gauche, je pense que ça n'a pas d'influence sur le sexe du bébé étant donné que c'est le spermatozoïde qui définit le sexe Et l'ovulation est



Q Tbn And9gcrco60bbagoizxyh3kobmkvsz9hr7rnu9ctwta4 Vgkoly1 Pvu Usqp Cau
Je n'ai pas changé de produit après, cela fait partie d'un des nombreux risques de la stimulation qui, à force de booster les ovaires, peut créer ces kystes fonctionnels Je fais donc une pause pour reprendre mon souffle, marre de la douleur Sur gyneweb j'ai appris que les kystes fonctionnels sont hémorragiques Ils disparaissent rapidement Kystes comment se passe l'échographie L'échographie est le meilleur des outils de diagnostic Examen sans danger, reproductible etImages échographiques d'un kyste mucineux pluriloculaire et bénin de l'ovaire droit avec son aspect macroscopique à titre de comparaison;
Kystes et grossesse les fonctionnels et les organiques Les kystes se forment dans les ovairesIl convient d'en distinguer 2 sortes Les kystes fonctionnels (les plus nombreux) apparaissent lorsDéboucher sur une torsion de l'ovaireEnviron 5 à 10 % des femmes en âge de procréer sont touchés par ce qu'on appelle le syndrome des ovaires polykystiques Caractérisé par la formation de kystes ovariens, ce trouble
Si la plupart du temps un kyste dermoïde ovarien ne touche qu'un seul ovaire, il peut dans certains cas, être présent sur les deux ovaires en même temps A la différence des autres kystes ovariens, il apparaît à partir de cellules immatures présentes dans l'ovaire et qui proviennent des ovocytesOn peut donc retrouver dans les kystes dermoïdes des tissus comme Les kystes de l'ovaire sont de deux sortes les plus fréquents (90 %) sont les kystes fonctionnels Ils proviennent d'un défaut de fonctionnement de l'ovaire La seconde catégorie est celle des kystes dits organiques dus à l'altération de la fonction ovarienne Parmi ceuxci, les kystes dermoïdes, endométriosiques ou ceuxTout ceci pour rassurer les jeunes femmes, les kystes aux ovaires, ponctionnés ou non ne changent rien a notre fertilitée!




Syndrome Des Ovaires Polykystiques Quels Sont Les Risques D Infertilite Magicmaman Com




Hernie Inguinale Utero Ovarienne
Pour Jenny, les femmes enceintes ne perdent pas de sang, et encore moins de sang marron, cela n'est pas bon Cela Re Kyste ovarien bébé Bonsoir, Je viens d'avoir une petite fille qui aura bientot 3 mois A l'echographie du 3eme trimestre un kyste ovarien a ete detecté (32mmx40mm) Mon dossier a été transferé dans un hopital qui beneficie d'un centre de diagnostic anténatal S'en sont suivies des echographies ciblées sur le kyste tous les 15 joursÉchographie des ovaires Il existe 2 kystes sur l'ovaire gauche Un des kystes est de contenu purement transonore (noir) et correspond à un kyste de type fonctionnel L'autre kyste est de contenu hétérogène et évoque un kyste hémorragique L'échographie est l'examen de référence pour explorer les ovaires



Echo Anatomie De La Pathologie Genitale




Les Kystes Et Tumeurs De L Ovaire Chez L Enfant Tunisien Aspects Diagnostiques Et Prise En Charge Therapeutique Sciencedirect
L'échographie transvaginale n'est généralement pas utilisée pour diagnostiquer le syndrome des ovaires polykystiques chez les adolescentes, car elle ne détecte la morphologie polykystique que chez < 40% des filles et, utilisée seule, elle ne prédit pas la présence ou le développement du syndrome des ovaires polykystiquesLes objectifs de l'imagerie, largement représentée par l'échographie pelvienne, sont de confirmer l'origine ovarienne de la tumeur, de distinguer les kystes fonctionnels qui ne nécessitent pas de traitement des kystes organiques et, parmi ces derniers, de rechercher des signes évoquant la malignité L'échographie a d'abord étéMais dans plus de 50 % des cas le kyste de l'ovaire est latent, découvert sur un examen clinique ou sur une échographie réalisés pour une autre raison L'examen clinique L'interrogatoire On note la date des dernières règles normales et l'on recherche les facteurs de risque de kyste fonctionnel




Kyste Ovarien Et Grossesse Ce Qu Il Faut Savoir



Http Www Sfrnet Org Rc Org Sfrnet Htm Article 16 0939 596 Src Htm Fulltext Fr 7 blondiaux E Pdf
Empêcher un accouchement par voie basse;Kystes fonctionnels et kystes organiques En effet, on distingue plusieurs types de kystes ovariens dont les kystes fonctionnels et les kystes organiques Les plus fréquents sont les kystes fonctionnels qui sont liés à l'activité hormonale des ovaires Ces kystes disparaissent généralement après quelques cycles menstruelsIl a fait une échographie du cerveau à la naissance (7 jours de vie), une IRM à 1 mois et vu la neuropédiatre à 3 mois qui a confirmé qu'il va très bien et se développe comme n'importe quel bébé Nous la reverrons quand il aura 1 an et si le kyste n'a pas grossi, on ne la




Kyste De L Ovaire Foetal Bilateral Et Regressif In Utero



1
Résumé Une hémorragie intrakystique peut survenir dans différents types de kystes fonctionnels, dans un contexte de douleur pelvienne aiguë L'aspect varie en fonction du délai entre l'hémorragie et le moment de réalisation de l'échographie L'aspect, de ce fait, peut parfois prêter à confusion et l'évolution dans leÉchographie ovarienne L'échographie ovarienne montre une structure cavitaire de grande taille (> 1 cm) persistante dans l'ovaire Il s'agie donc d'un kyste ovarien La cavité anéchogène à J 18 devient hypoéchogène à J22, ceci est compatible avec une lutéinisation partielle d'un kyste LES KYSTES ORGANIQUES Un kyste organique, c'est tout ce qu'on peut trouver comme boule sur l'ovaire autre qu'un kyste fonctionnel !




Kyste De L Ovaire Fœtal Bilateral Avec Hemorragie Intra Kystique A L Ovaire Gauche



Http Nglr Fr Images Naitre Pdf Referentiels Chirurgie Pediatrique Kyste Ovaire Pdf
Kystes des ovaires, testicules, cordon spermatique échographie, tomodensitométrie et ponction Kyste des reins, rate diagnostic par palpation, échographie et méthodes de tomodensitométrie Kystes de la bouche (dans la langue, palatine, gencive) Rayons X, examen visuel, si nécessaire, échographieLes kystes se trouvent effectivement dans chacune de mes ovaires Je suis presentement sur la liste d'attente de l'hopital dans l'espoir de pouvoir faire la chirurgie le plus tot possible Le docteur a dit qu'apres une laproscopie, je dois prendre 2 semaines de repit, et que dans le cas d'une laprotomie, j'aurai besoin de 4 a 6 semaines de repit L'échographie pelvienne permet de visualiser la vessie et les voies urinaires, mais aussi les organes génitaux tels que l'utérus, les ovaires ou des anomalies des trompes Du fait de son caractère totalement inoffensif pour la future maman ou le fœtus, elle est également pratiquée chez la femme enceinte pour suivre le déroulement de la




Masse Pelvienne Gynecologie Et Obstetrique Edition Professionnelle Du Manuel Msd



Article Medicale Tunisie Article Medicale
Mon bébé à un kyste Il a fait une échographie du cerveau à la naissance (7 jours de vie), une IRM à 1 mois et vu la neuropédiatre à 3 mois qui a confirmé qu'il va très bien et se développe comme n'importe quel bébéPour reconnaître ce type d'échographie kyste de l'ovaire est recommandé de répéter après un mois, sixième au septième jour du cycle De tels kystes ne sont pas traités Parfois, avec un retard lunaire prolongé, il est nécessaire de prescrire les hormones de la deuxième phase du cycle pour accélérer la résorption du kysteLa découverte d'un kyste de l'ovaire de 4 cm à l'occasion d'une échographie est assez fréquente Il peut s'agir d'un kyste dit follicule persistant, qui est l'un des follicules qui se forme chaque mois dans l'ovaire d'une femme et qui, au lieu de s'ouvrir pour libérer l'ovule, persiste et




Kystes Et Tumeurs De L Ovaire Chez L Enfant Et L Adolescente Figure




Syndrome Des Ovaires Polykystiques Sop
Une échographie utilise des ondes sonores pour produire des images en temps réel de vos ovaires et de la région environnante C'est rapide, sûr et indolore Si votre médecin soupçonne la présence d'un kyste ovarien, il utilisera probablement une échographie transvaginale pour aider à l'identifierLes kystes organiques de l'ovaire ou kystes solides L'échographie n'est en générale pas suffisante pour réussir à caractériser ce kyste Votre gynécologue vous prescrira soit un scanner, soit une IRM Avec cet examen complémentaire, nous aurons une idée de la nature de ce kyste Kyste de l'ovaire l'échographie abdominopelvienne, un examen essentiel Première échographie abdominopelvienne L' échographie abdominopelvienne est réalisée par voie abdominale (la sonde est déplacée sur la paroi de l'abdomen) et, le plus souvent, par voie endovaginale (la sonde est placée dans le vagin)



Echo Anatomie De La Pathologie Genitale




Conduite A Tenir Devant Un Kyste Ovarien En Cours De Grossesse Ppt Video Online Telecharger
Les kystes ovariens organiques ne régressent pasIls sont en général enlevés afin d'éviter tout risque de complication (torsion de l'ovaire, hémorragie du kyste) Diagnostic du kyste de l'ovaire échographie et Doppler jouent la complémentarité L'échographie, qui permet de découvrir les kystes ovariens asymptomatiques, peut être réalisée par voie abdominale ou par Dans ce cas, la moitié des cas cliniques de kyste de l'ovaire chez un enfant diagnostiqué in utero échographie d'une femme enceinte En règle générale, les antécédents obstétricaux dans la majorité prédominante des femmes enceintes est grevée d'une infection respiratoire aiguë, l'oedème, la néphropathie, l'hypoxie fœtale, lesLa bromelaïne que je recommande dosée à 400 mg par gélule https//tinyurlcom/yawql22m Si vous souhaitez contacter mon naturopathe, composez le 06 16




Un Cas Rarissime De Naissance Vivante A L Issue D Une Grossesse Localisee Dans L Ovaire Realites Biomedicales




Echographie Wikipedia
Il s'agit d'un kyste multiloculaire de 1 x 85 x 60 mm de dimensions (soit environ 3 cm 3 de volume) L'examen anatomopathologique confirme sa nature mucineuse bénigneDu même kyste Echogénicité des cheveux ou dents, nodule de rokitanski, atténuation acoustique 34 Kystes hémorragiques de l'ovaire 35 Endométriome •Echographie dépendante de l'opérateur •Utile pour les endométriomes et le retentissement urétéral Piketty, M Hum Reprod 09 Hudelist, M Hum Reprod 09 36 L'échographie Les kystes dermoïdes sont fréquents chez les femmes âgées de moins de 45 ans Ils sont très rares avant la puberté Ils sont souvent détectés vers l'âge de 30 ans Il s'agit d'une catégorie particulière de kystes organiques de l'ovaire et sont pratiquement toujours bénins



Http Www College Chirped Fr College National Hospitalier Et Universitaire De Chirurgie Pediatrique Cours Themes Uro Viscerale Files Kystes 26 tumeurs ovaire grapin Dagorno 17 03 14 Pdf



Http Www Michel Lewin Be Resources Comment Re Cc 81aliser Une E Cc 81chographie Pelvienne De L E2 80 99enfant Et De L E2 80 99adolescente 3f Pdf
Le cancer de l'ovaire touche une femme sur 70 Les tumeurs de l'ovaire représentent un panel de structures très hétérogènes allant du simple kyste liquidien fonctionnel à la masse hétérogène et vascularisée L'échographie est l'examen de première intention de l'appareil génital féminin et permet, en particulier, une Cours 1 (Echographie des ovaires) Sommaire 1 L'ovaire normal au cours du cycle menstruel 2 Troubles de l'ovulation et pathologie fonctionnelle des ovaires 3 Ovaire ménopausique 4 Tumeurs organiques de l'ovaire 5 Endométriomes 6 Ovaires et stimulation 7 Complications des kystesL'échographie est l'examen clé Et plus précisément l'échographie endovaginale (avec une sonde placée dans le vagin) qui permet d'apprécier la taille et l'aspect du kyste L'échoDoppler est aussi utilisé par certains spécialistes Il permet de voir les vaisseaux du kyste et, donc, de mieux connaître sa nature




File1 Topsante Com Var Topsante Storage Images 1 3 1 2 Comment Passe Une Echographie Pelvienne Jpg Alias Exact1024x768 P




Torsions D Annexes Chez La Fille Peripubere Plaidoyer Pour Une Conservation De L Ovaire Pediatrie Pratique
Kystes de l'ovaire les bonnes pratiques de l'échographie Ovarian cysts good practices for ultrasound Ulrike Metzger* * Centre européen de diagnostic et d'exploration de la femme (CEDEF), Le Chesnay Tableau Règles simples (2) 5 règles pour "bénignité" 5 règles pour "malignité" 1 Kyste uniloculaire 2 Kyste de l'ovaire Parce que les ultrasons utilisés par l'échographie se déplacent mieux à travers un milieu liquide L'image qui s'affiche Les ovaires polykystiques sont des folicules dans les ovaires qui n'évoluent pas en ovule Les kystes sont en dehors des ovaires On appele ça ovaires polykystiques car les chercheurs qui ont trouvé ça n'avait pas l'échographie et pensaient que c'était des kystes et finalement c'est pas ça mais ils n'ont pas changé le nom de ce syndrôme



Kyste De L Ovaire Fœtal




Insolite Elle Portait Le Fœtus De Son Jumeau Dans Son Ov Top Sante
Il arrive qu'un kyste ovarien soit découvert fortuitement, lors d'une échographie obligatoire durant la grossesse Un petit kyste asymptomatique ne nécessite souvent qu'une simple surveillance, pour s'assurer qu'il ne grossit pas trop normalement, il ne gênera en rien le développement de votre futur bébé, ni même votre Le kyste de l'ovaire est une sorte de poche contenant entièrement ou en partie du liquide Il se forme au sein de l'un ou des deux ovaires Il peut toucher chaque femme, à tout âge, même après la ménopause Les kystes de l'ovaire (kystes ovariens) passent généralement inaperçus et sont découverts de manière fortuite lors d'une échographie Dans la grande majorité des cas, ces petites grosseurs sont bénignes et disparaissent seules Toutefois, il arrive qu'une opération chirurgicale soit nécessaire




Ovaires Polykystiques Kyste Aux Ovaires Symptomes Traitement Definition Docteurclic Com




Kyste Dermoide Ovarien Causes Et Traitements Parents Fr
Des kystes folliculaires parmi les 40 autopsies pratiquées Avant l'avènement de l'échographie anténatale, seuls les kystes ayant une expression clinique étaient diagnostiqués Actuellement, le diagnostic du kyste de l'ovaire est de plus en plus rapporté dans la littérature suite à l'usage routinier de l'échographie anténatale Le kyste ovarien est un petite poche remplie de liquide qui s'est développée aux dépends d'un ovaire Celuici est très fréquent, et le plus souvent bénin On le découvre souvent lors d'une examen d'imagerie, comme une échographie Kyste ovarien on trouve deux types de kystes ovariens



Q Tbn And9gcrco60bbagoizxyh3kobmkvsz9hr7rnu9ctwta4 Vgkoly1 Pvu Usqp Cau




John Libbey Eurotext Medecine Therapeutique Pediatrie Kystes De L Ovaire Chez L Enfant Et L Adolescente




Un Fœtus Petrifie Decouvert Dans Le Ventre D Une Femme Decedee A 87 Ans Realites Biomedicales



Http Www Sfrnet Org Rc Org Sfrnet Htm Article 16 0939 596 Src Htm Fulltext Fr 7 blondiaux E Pdf



Http Www Sfrnet Org Rc Org Sfrnet Htm Article 16 1609 617 Src Htm Fulltext Fr 4 Canale S Pdf




Faut Il S Inquieter D Un Kyste De L Ovaire Sante Magazine



1




Comment Realiser Une Echographie Pelvienne De L Enfant Et De L Adolescente




Kyste Ovarien Fonctionnel De Type De Corps Jaune Gravide Kystique De 35 Mm De Grand Axe



Imagerie Des Tumeurs Ovariennes Du Benin Au Malin Les Signes D Appel Revue Genesis




Quand On N A Plus Ses Regles Que Se Passe T Il Miss Frottis




Comment Realiser Une Echographie Pelvienne De L Enfant Et De L Adolescente



Echographie Abdominale Pelvienne




Tumeurs De L Ovaire Et Grossesse Une Malignite Retrouvee Dans 1 A 9




L Echographie Pelvienne



Phototheque Gynecologie 2d Echographie Toulouse Centre




Kyste Ovarien Chez Un Foetus Du Sexe Feminin




Kyste De L Ovaire




Cancer De L Ovaire Age Symptomes Depistage Et Traitement




Comment Realiser Une Echographie Pelvienne De L Enfant Et De L Adolescente




Infertilite Chez Une Chienne Un Cas De Kyste Ovarien Resolu Vetreproduction Pathologie De La Reproduction Canine Et Feline




Kyste Ovarien Hemorragie Rupture Et Compression Thoracotomie




Kyste Ovarien Definition Causes Symptomes Traitement



Echographies Au Cours De La Grossesse



Phototheque Gynecologie 2d Echographie Toulouse Centre



Kyste De L Ovaire




Comment Realiser Une Echographie Pelvienne De L Enfant Et De L Adolescente



Phototheque Gynecologie 2d Echographie Toulouse Centre




Masses Ovariennes Decouvertes A L Echographie Du 1er Trimestre Gynecologie Obstetrique Pratique




Diagnostic Echographique En Urgence D Une Torsion De L Ovaire Chez L Enfant A Propos De Neuf Observations Sciencedirect



Kyste De L Ovaire Fœtal




Ovaire Gauche Kyste Fonctionnel Regressant Spontanement Echographie



Http Www Cngof Asso Fr D Livres 03 Gm 197 Raynal Pdf




Kyste Ovarien L Operation Ne Serait Pas Souvent Judicieuse Sante Magazine




Inde Un Bebe Nait Avec Son Jumeau Dans L Estomac




Kyste De L Ovaire Fœtal Bilateral Et Regressif In Utero



Http Www Sfrnet Org Rc Org Sfrnet Htm Article 16 0939 596 Src Htm Fulltext Fr 7 blondiaux E Pdf



Kyste De L Ovaire



Echographie Abdominale Pelvienne




John Libbey Eurotext Medecine Therapeutique Pediatrie Kystes De L Ovaire Chez L Enfant Et L Adolescente



Echographie Abdominale Pelvienne




Colombie Un Bebe Nait Avec Le Fœtus De Sa Sœur Jumelle Dans Son Ventre




Kyste Ovarien Et Grossesse Magicmaman Com




Fertilite Traitements Ce Qu Il Faut Savoir Sur Les Kys Top Sante




Diagnostic Echographique En Urgence D Une Torsion De L Ovaire Chez L Enfant A Propos De Neuf Observations Sciencedirect




La Premiere Echographie Entre Joie Et Angoisse Magicmaman Com




Type D Echographies Pratiquees



Http Www College Chirped Fr College National Hospitalier Et Universitaire De Chirurgie Pediatrique Cours Themes Uro Viscerale Files Kystes 26 tumeurs ovaire grapin Dagorno 17 03 14 Pdf



Http Www Sfrnet Org Rc Org Sfrnet Htm Article 16 0939 596 Src Htm Fulltext Fr 7 blondiaux E Pdf




Diagnostic Echographique En Urgence D Une Torsion De L Ovaire Chez L Enfant A Propos De Neuf Observations Sciencedirect



Phototheque Gynecologie 2d Echographie Toulouse Centre




Kyste A L Ovaire Pendant La Grossesse




Type D Echographies Pratiquees




Comment Realiser Une Echographie Pelvienne De L Enfant Et De L Adolescente




Masses Abdominopelviennes Chez Lenfant Introduction Diagnostic Positif Plan




Kyste Ovarien Definition Causes Symptomes Traitement



Phototheque Gynecologie 2d Echographie Toulouse Centre




Kyste Ovarien Hemorragie Rupture Et Compression Thoracotomie




Conduite A Tenir Devant Un Kyste Ovarien En Cours De Grossesse Ppt Video Online Telecharger




Un Fœtus Petrifie Decouvert Dans Le Ventre D Une Femme Decedee A 87 Ans Realites Biomedicales



Pathologie Organique De L Ovaire




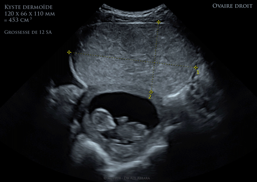
Ovaire Droit Volumineux Teratome Benin Kyste Dermoide Chez Une Femme Enceinte De 12 Sa Echographie Et Images Cliniques




John Libbey Eurotext Medecine Therapeutique Pediatrie Kystes De L Ovaire Chez L Enfant Et L Adolescente



Http Nglr Fr Uploads Pathologie kystique de labdomen foetal jmf Pdf




Les Tumeurs De L Ovaire Cancers Et Kystes De L Ovaire Symptomes Et Traitement Doctissimo




Comment Realiser Une Echographie Pelvienne De L Enfant Et De L Adolescente




Kystes De L Ovaire Symptomes Et Taitement Du Kyste Ovarien Doctissimo




Une Femme De 45 Ans Retrouve Son Jumeau Dans Son Ovaire



Article Medicale Tunisie Article Medicale




Type D Echographies Pratiquees




Les Kystes Et Tumeurs De L Ovaire Chez L Enfant Tunisien Aspects Diagnostiques Et Prise En Charge Therapeutique Sciencedirect



Phototheque Gynecologie 2d Echographie Toulouse Centre



Phototheque Gynecologie 2d Echographie Toulouse Centre




Type D Echographies Pratiquees



Imagerie Des Tumeurs Ovariennes Du Benin Au Malin Les Signes D Appel Revue Genesis



Q Tbn And9gcrung7ta7w4kfa8afqia7adhe0rwy1d0abof0xivvz6vwjndwzn Usqp Cau




L Echographie Pelvienne Quand Y A T On Recours Magicmaman Com



Http Www College Chirped Fr College National Hospitalier Et Universitaire De Chirurgie Pediatrique Cours Themes Uro Viscerale Files Kystes 26 tumeurs ovaire grapin Dagorno 17 03 14 Pdf
No comments:
Post a Comment